Esclerose Múltipla
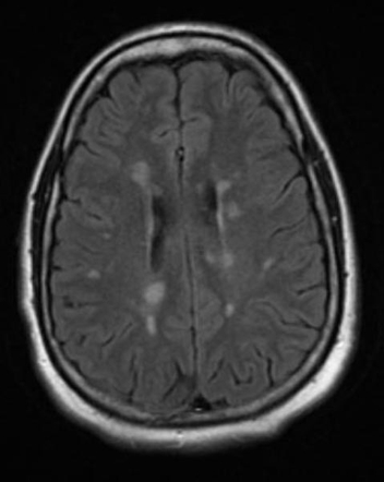
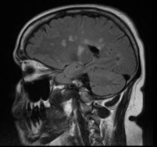
A Esclerose Múltipla é uma patologia inflamatória crônica do Sistema Nervoso Central, acometendo desta forma o Encéfalo e a Medula Espinhal, de etiologia auto-imune.
Atinge mais frequentemente indivíduos entre os 20 e 40 anos, sendo mais freqüente em mulheres. É a mais comum dentre as patologias chamadas desmielinizantes.
Os sintomas são bastante variados. O mais comum é que os sintomas evoluam progressivamente ao longo de poucos dias, nos episódios chamados “surtos”. Pode surgir perda de força muscular, perda de sensibilidade, alteração da função dos esfíncteres, alterações visuais, de equilíbrio, coordenação, fala, dentre outras. Geralmente os sintomas apresentam regressão, que é acentuada quando ocorre tratamento específico. Estes surtos tendem a se repetir (Forma Remitente- Recorrente em 85% dos casos) e a patologia pode evoluir, em decorrência do processo inflamatório crônico. Há ainda alguns indivíduos em que os sintomas progridem gradualmente ao longo dos anos, sem o padrão típico de surtos.
É uma patologia com tratamento específico. O uso de medicações chamadas imunomoduladoras (Interferons) regula o sistema imunológico a fim de reduzir o processo inflamatório, no intuito de prevenir a recorrência dos sintomas (surtos).
Para pacientes com processo inflamatório ativo, na forma remitente-recorrente, sem controle com o uso dos imunomoduladores, há outros possíveis tratamentos, como anticorpos monoclonais e transplante de medula óssea, realizados em centros altamente especializados, a partir da avaliação minuciosa de cada paciente.
Diversas pesquisas e ensaios clínicos estão sendo realizados, a fim de melhorar as estratégias terapêuticas para os tipos específicos de Esclerose Múltipla.
Tratamentos de reabilitação, com Fisioterapia, Terapia Ocupacional e Fonoaudiologia também são muito importantes, a depender da sintomatologia.
É um patologia com apresentação muito variável. Há indivíduos com quadros graves, com difícil controle, progressivos, enquanto há outros que apresentam surtos raros, com sintomas leves e remitentes, que mantém vida profissional completamente normal, sem sintomas ou com sintomas muito discretos.

